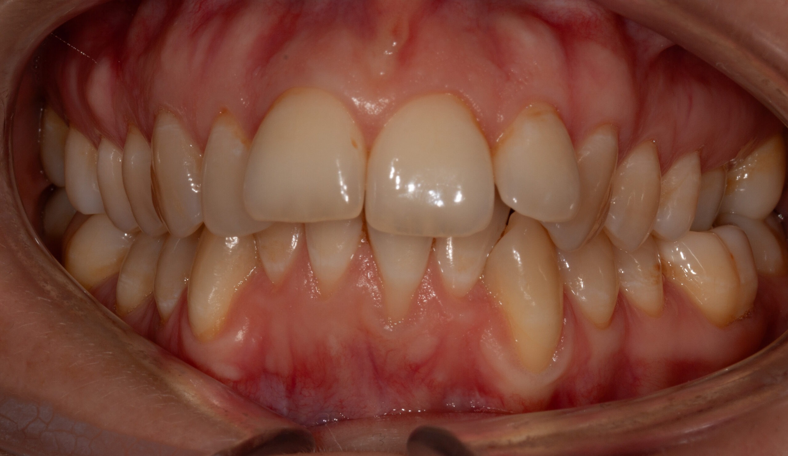
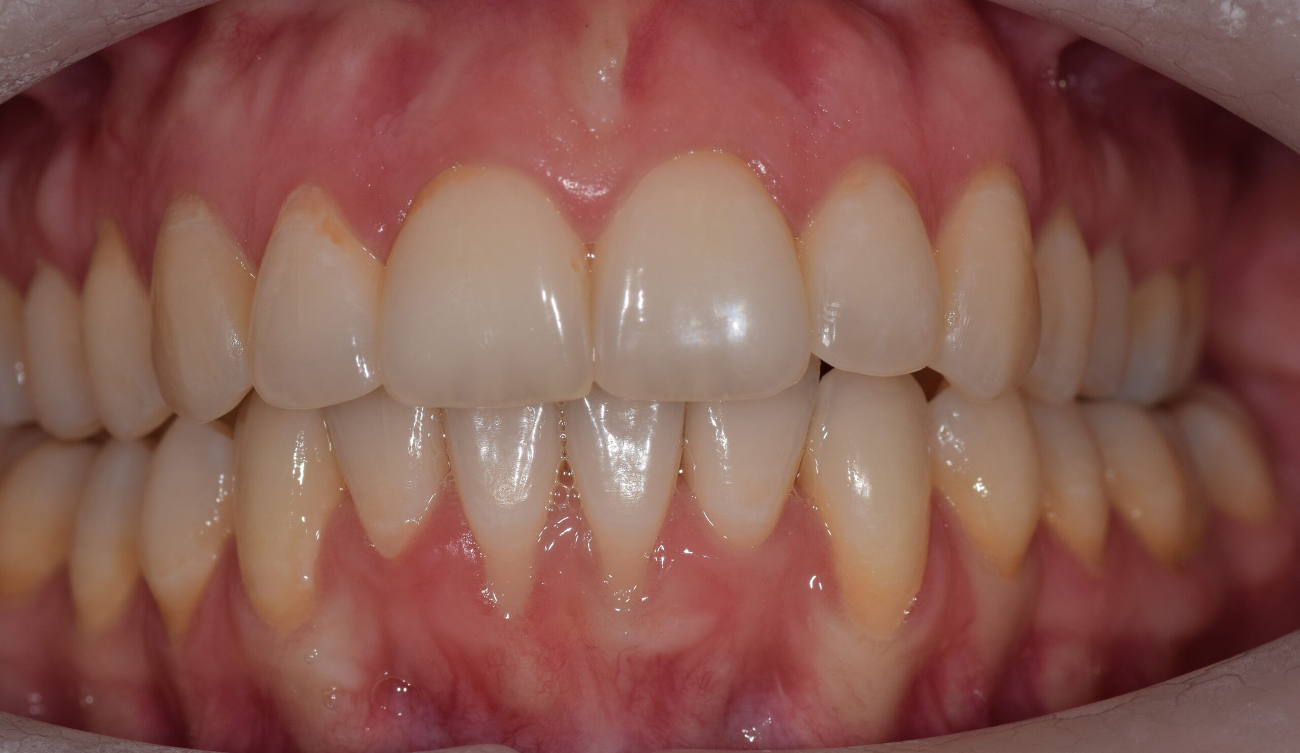
Invisalign, Composite Bonding and Teeth Whitening
I’d like to be informed of exclusive offers and other practice information YES
*By clicking ‘submit’ you are consenting to us replying, and storing your details. (see our privacy policy).